Skip Menu
Continue
  • ,
  • ,
  • Home
  • About Us
    • Our Office
    • New Patients
    • Smile Gallery
    • Dental Videos
    • Testimonials
  • Our Doctors
  • Services
      • View All
    • Dental Health
    • Contact
      • Contact Us
      • Request Appointment

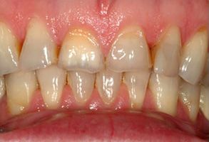
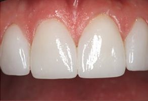
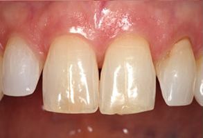
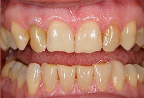
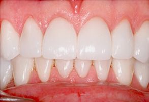
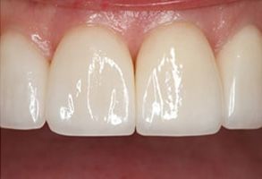
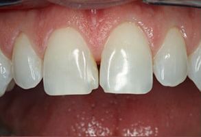
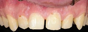
    Smile Gallery

    Additional Information

    Our Location


    ,

    Follow Us